No-Prep Porcelain Veneers & Minimal-Prep Porcelain Veneers

No Prep Porcelain Veneers No Prep Porcelain Veneers

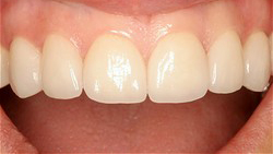
No-Prep Porcelain Veneers & Minimal-Prep Porcelain Veneers are extremely thin shells of Porcelain that are placed directly over your teeth. These finely crafted ultra-thin porcelain veneers can be made 0.4mm thin. The ultra-thin nature of the 'No-Prep Veneer' & 'Minimal-Prep Veneer' reduces the need for drilling away healthy tooth enamel to achieve the cosmetic result desired.

The result is a beautifully natural, long-lasting, healthy smile.

Ask Dr. Keen about his conservative and natural approach to performing Porcelain Veneer procedures for women and men. Exceptional artistic abilities, meticulous attention to detail for color, contour, texture and translucency, combined with using the finest quality state-of-the-art porcelain materials is the key for Dr. Keen to enhance the 'eye-appeal' and natural aesthetic appearance of your smile.